header

history

                                                                             
                                                                           
                                              zurück               weiter


                                                                            foto
                      2000-2003

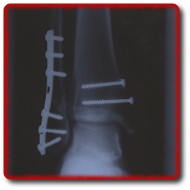
Kein Teilnahme an Rennveranstaltungen wegen
Ausbildung, Hausbau der Eltern und Verletzung



                                                   



 









                                                                                                      white

     sponsored by:

acr-motorsport



APS-Racing

piccolino  
  ARAG

 punto via

  Therapie & Fitness

  FIAT